Atrial Septal Defect (ASD) Management in Mumbai, India
Is your child diagnosed with a heart murmur or showing signs of fatigue or shortness of breath? These could be symptoms of an Atrial Septal Defect (ASD)—a common congenital heart condition in which there is a hole between the two upper chambers of the heart. ASD allows blood to pass from the left atrium to the right atrium, which may lead to over-circulation of blood in the lungs, causing complications over time if untreated.
With over 12 years of experience, Dr. Bobhate has extensive expertise in diagnosing and managing ASD in children. He specializes in providing comprehensive care for complex heart conditions, such as ASD, at Kokilaben Dhirubhai Ambani Hospital. His holistic approach ensures early diagnosis and individualized treatment plans for children, making him one of the most trusted professionals for Atrial Septal Defect (ASD) management in Mumbai.
Dr. Prashant Bobhate, a highly regarded Pediatric Cardiologist in Mumbai, explains:
“Early diagnosis and timely treatment of ASD prevent long-term complications like heart failure and pulmonary hypertension,”
Contact Us
Wondering what happens when there’s a hole in a child’s heart? Let’s break down how ASD affects heart function and why early treatment matters.
What Is Atrial Septal Defect (ASD) in Children?
Atrial Septal Defect (ASD) is a congenital heart defect in which there’s an abnormal opening between the left and right atria (the two upper chambers of the heart). This hole allows blood to flow from the left atrium (which holds oxygen-rich blood) into the right atrium, causing increased blood flow to the lungs. If left untreated, it can lead to complications such as:
- Overloaded heart chambers
- Pulmonary hypertension
- Heart failure in severe cases
In many cases, ASDs are small and don’t cause noticeable symptoms, but larger defects may lead to shortness of breath, fatigue, frequent respiratory infections, and poor growth in children.
ASD may not always show symptoms right away, but timely detection can prevent future heart complications. Connect with a pediatric heart specialist for an evaluation.
Unsure how ASD is diagnosed in children? Here’s how Dr. Bobhate uses advanced diagnostic tools to get accurate results.
Diagnostic Approach to ASD by Dr. Prashant Bobhate

Clinical Examination
The process begins with a thorough clinical exam, listening for abnormal heart sounds (murmurs) and assessing symptoms like fatigue or rapid breathing.

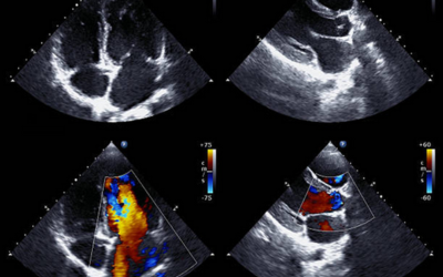
Echocardiography (2D Echo)
The most frequent test for diagnosing ASD. A non-surgical test that employs the use of ultrasound waves to produce images of the heart, which indicate the size of the defect and how it impacts blood circulation.

Cardiac Catheterization (As Needed)
In some rare cases when the diagnosis is uncertain or the defect is large, catheter-based testing is employed to measure pressures within the heart and confirm the diagnosis.

Chest X-ray
A chest X-ray aids in the estimation of the size of the heart and the lung status, since large ASDs may cause a volume load to the lungs.

Electrocardiogram (ECG)
An ECG records the heart’s electrical activity, detecting abnormal rhythms that may result from ASD.
All ASDs do not need to be operated on—what are the choices? Here is an overview of the treatments in terms of the severity of ASD.
Treatment Options for ASD in Infants and Children

Medication to Manage Symptoms
Small ASDs that don’t have serious symptoms can be treated with medications such as diuretics or blood pressure medication to manage symptoms such as swelling and breathlessness.

Open-Heart Surgery
In large defects that cause symptoms, open-heart surgery may be needed to close the defect. This is usually performed in infants or children who are not so responsive to catheter procedures.

Follow-Up and Regular Monitoring
Post-treatment echocardiograms are important for follow-up and monitoring the recurrence of the defect or any complications.

Catheter-Based Device Closure
For moderate ASDs, Dr. Prashant Bobhate, one of the best pediatric cardiologist for ASD, can suggest a minimally invasive catheter-based procedure to close the defect with a specially designed device, which is inserted through a small incision in the leg.
Concerned about the cost of pediatric ASD surgery in Mumbai? Understanding what’s involved in the treatment process can help you plan better.
Cost of ASD Surgery and Care in Mumbai
The cost of ASD heart surgery and treatment in Mumbai can vary significantly depending on several factors. These include the size of the defect, the type of treatment (surgical or catheter-based), and the hospital facility. Typically, minimally invasive catheter procedures are more affordable than open-heart surgery, and both are supported by comprehensive pre-operative and post-operative care, including imaging tests, hospital stays, and rehabilitation services.
At Kokilaben Dhirubhai Ambani Hospital, you’ll find transparent billing and the possibility of insurance coverage. The cost includes diagnostic tests, procedure fees, consultation charges, and post-operative follow-ups. The goal is to offer cost-effective, high-quality treatment that minimizes your child’s recovery time.
Wondering what sets Dr. Bobhate apart as the best choice for ASD treatment? Here’s why families across Mumbai and beyond trust him for pediatric heart care.
Why Choose Dr. Prashant Bobhate for ASD Management in Mumbai?
Dr. Prashant Bobhate has earned a reputation as one of the leading pediatric cardiologists in Mumbai for his expertise in neonatal interventional cardiology. Parents choose him because:
Extensive Experience in Pediatric Cardiology
With over 12 years of experience, Dr. Bobhate has treated hundreds of children with congenital heart defects, including ASD.
Specialized in Minimally Invasive Procedures
He specializes in catheter-based interventions, ensuring less pain, shorter recovery times, and reduced hospital stays for children with ASD.
Personalized, Family-Centered Care
Dr. Bobhate ensures that each treatment plan is tailored to the child’s unique needs, keeping parents informed and reassured at every step.
Global Training and Expertise
Dr. Bobhate’s training includes global exposure to the latest in pediatric heart care, ensuring your child receives world-class treatment right here in Mumbai.
Comprehensive Care at a Leading Facility
He practices at Kokilaben Dhirubhai Ambani Hospital, a top-tier healthcare center with advanced diagnostic tools and a dedicated pediatric cardiology team.
Experience compassionate care combined with the latest heart treatment options for your child. Get in touch with a pediatric heart expert today.
Frequently Asked Questions
How do I know whether my child has ASD?
Signs are shortness of breath, tiredness, repeated respiratory infections, and poor weight gain. A pediatric echo will diagnose it.
Can children with ASD be treated?
Yes, ASD is treatable in children with the use of medication, catheter-based interventions, or surgery, depending on the size and impact of the defect.
When is surgery for ASD necessary?
Surgery is normally indicated in case the ASD is large, symptomatic, or resistant to catheter-based closure.
Can ASD close on its own?
Small ASDs may close naturally in early childhood, but larger defects often require treatment to prevent complications.
How long does recovery take after ASD surgery?
Recovery time depends upon the procedure type. Children getting catheter-based closure recover within a few days, whereas surgical recovery can take 4–6 weeks.
Is ASD a hereditary condition?
Some cases of ASD are genetic, but many occur without a family history.
Can my child play sports with ASD?
Kids with small, asymptomatic ASDs can typically be active. Following treatment, a pediatric cardiologist will recommend suitable activities.

