Evaluation of Pulmonary Hypertension in Mumbai, India
Is your child or loved one showing signs of breathlessness, fatigue, or swelling in the legs? These could be early symptoms of pulmonary hypertension (PH), a condition where the blood pressure in the lungs’ arteries is abnormally high. PH can result from various causes, including heart disease, lung disease, and even genetic factors. Early detection through pulmonary hypertension evaluation is crucial for managing symptoms and improving quality of life.
“Pulmonary hypertension is often underdiagnosed, but with the right tests, we can significantly reduce the burden of the disease,” says Dr. Prashant Bobhate, a well-known cardiologist in Mumbai. “Early interventioncan change the course of treatment.”
Dr. Bobhate offers expert evaluation of pulmonary hypertension in Mumbai, India, for both children and adults. With over 12 years of expertise, he provides comprehensive diagnostic care using advanced imaging, lung function tests, and catheter-based assessments. At Kokilaben Dhirubhai Ambani Hospital, Dr. Bobhate collaborates with a multidisciplinary team to ensure accurate diagnosis, personalized treatment planning, and continuous follow-up for all PH patients.
Dr. Prashant Bobhate, a highly regarded Pediatric Cardiologist in Mumbai, explains:
“Early diagnosis and timely treatment of ASD prevent long-term complications like heart failure and pulmonary hypertension,”
Contact Us
Wondering how doctors diagnose PH? Explore the tests and imaging options used to identify PH and guide treatment.
Pulmonary Hypertension Evaluation and Testing Options
These diagnostic options help doctors understand the cause and severity of pulmonary hypertension:

Echocardiography (2D Echo):
The first-line imaging test for detecting heart enlargement and abnormal blood flow patterns that indicate PH.

Right Heart Catheterization:
The gold standard for direct pulmonary artery pressure measurement, often used when other studies are unhelpful.

Lung Function Tests:
These test lung function and uncover diseases like COPD or pulmonary fibrosis that can result in PH.

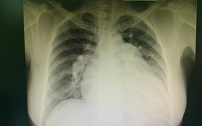
Chest X-Ray:
Helps in the identification of changes in the lung structure, such as accumulation of fluid or lung injury that may lead to PH.

CT Pulmonary Angiography (CTPA):
Used in evaluating pulmonary diseases that may lead to PH, such as blood clots or other pulmonary diseases.

Blood Tests:
To rule out autoimmune diseases, infection, or other conditions leading to PH.
Unsure about the diagnostic steps for PH? Discover how Dr. Bobhate’s approach ensures an accurate diagnosis.
Diagnostic Approach to Pulmonary Hypertension
Dr. Prashant Bobhate follows a systematic approach for effective diagnosis and right treatment:

Complete Clinical Assessment
Dr. Bobhate starts with a detailed history and physical examination, looking for symptoms like fatigue, dizziness, swelling, or rapid breathing. This helps him pick up early warning signs and possible etiology.

Advanced Imaging Interpretation
With the use of echocardiography and other imaging data, he assesses right heart function, pulmonary artery pressures, and heart-lung interaction to form a clear picture of the condition.

Risk Stratification
Patients are classified based on severity and prognosis, enabling targeted treatment strategies and prioritization for interventions.

Multidisciplinary Review
Complex cases are discussed with pulmonologists, cardiologists, and other specialists to allow for a complete understanding and holistic management plan.

Tailored Follow-Up Planning
Dr. Bobhate designs personalized follow-up schedules, including monitoring frequency and specific interventions, to track disease progression and adjust treatment promptly.
Worried about the cost of pulmonary hypertension evaluation? It is always helpful to get an estimate of the expenses so that intelligent medical decisions can be made.
Cost of Pulmonary Hypertension Evaluation in Mumbai
The cost of pulmonary hypertension evaluation in Mumbai is different based on several factors including the type of tests performed, severity of the condition, and need for specialized imaging or catheterization. Diagnostic tests such as echocardiograms and lung function tests are more affordable, while advanced imaging like CT angiograms or right heart catheterization tends to be more costly.
At Kokilaben Dhirubhai Ambani Hospital, you’ll receive a transparent breakdown of all costs, and insurance may cover many aspects of PH evaluation and treatment. Treatments for PH also vary based on the cause behind it and the recommended action. Even though diagnostic workups are a front-end cost, long-term treatment plans (drugs, follow-up appointments, and counseling) may also be factored in.
Looking for the best professional to assess PH? Find out why Dr. Bobhate is the leading expert for PH assessment in Mumbai.
Why Choose Dr. Prashant Bobhate for Pulmonary Hypertension Evaluation?
Decade of Experience in Pediatric and Adult PH Care
Dr. Bobhate’s extensive years of experience in pediatric and adult pulmonary hypertension allow him to offer specialist care for patients on a wide spectrum.
Global Training and Knowledge
With training from Canada and India, Dr. Bobhate has world-class expertise and the latest diagnostic techniques, making the most accurate diagnoses and treatment options available.
Personalized Treatment Plans
Each PH diagnosis is different, and Dr. Bobhate tailors treatments to fit the patient’s individual situation, needs, and lifestyle.
Multidisciplinary Approach
Team collaboration is critical for PH management. Dr. Bobhate works with pulmonary specialists, cardiologists, and other experts to ensure comprehensive care.
State-of-the-Art Diagnostic Tools
At Kokilaben Dhirubhai Ambani Hospital, he uses the latest technology and imaging tools to provide the most accurate diagnosis and effective treatment plans.
Compassionate, Family-Centered Care
Understanding the emotional impact of a PH diagnosis, Dr. Bobhate ensures that both the patient and their family feel supported and informed at every stage of care.
Frequently Asked Questions
1. Can pulmonary hypertension be treated?
Yes. The treatment depends on the underlying cause. It may include medications, oxygen therapy, lifestyle changes, and, in some cases, surgical interventions.
2. What are the symptoms of pulmonary hypertension?
Common symptoms include shortness of breath, fatigue, chest pain, dizziness, and swelling in the legs or abdomen.
3. Can children have pulmonary hypertension?
Yes, children can develop pulmonary hypertension, often due to congenital heart defects or other underlying conditions. Early diagnosis is crucial.
4. What is the cost of pulmonary hypertension treatment in Mumbai?
The cost varies based on diagnostic tests, treatment options, and follow-up care. Insurance often helps cover much of the cost of PH treatment.
5. Can medications help manage pulmonary hypertension?
Yes, medications like PDE-5 inhibitors, prostacyclins, and endothelin receptor antagonists are used to relax blood vessels and lower lung artery pressure.
